Zertifizierte Gynäkologische Dysplasie-Sprechstunde
Gebärmutterhalskrebs ist eine seltene Erkrankung geworden, da bereits vor Jahrzehnten eine Vorsorgeuntersuchung eingeführt wurde. Diese soll Krebsvorstufen, so genannte Dysplasien erkennen. Die Entstehung von Krebs kann somit frühzeitig verhindert werden.
Eine Dysplasie des Gebärmutterhalses ist eine mögliche Vorstufe von Gebärmutterhalskrebs, eingeteilt werden diese Veränderungen unter dem Begriff cervikale intraepitheliale Neoplasie (CIN). Die CIN I ist im eigentlichen Sinn gar keine Krebsvorstufe sondern eine Infektion mit dem Humanen Papillomavirus (HPV), die zu 90 Prozent selbstständig ausheilt. Hier genügt die Beobachtung über den zytologischen Abstrich.
Die CIN II zeigt eine höhergradige Veränderung an, trotzdem heilt sie immer noch in der Hälfte der Fälle von selbst aus. Diese Vorstufe kann man schonend therapieren, z.B. mit einer Laserbehandlung. Man kann diese aber auch unter gewissen Voraussetzungen beobachten und Ihrem Körper die Möglichkeit geben, auch diese Vorstufe auszuheilen.
Die CIN III heilt nur sehr selten allein aus und stellt eine Vorstufen von Gebärmutterhalskrebs dar, wobei diese Entwicklung meisten im Verlauf von mehreren Jahren geschieht. Durch Behandlung der CIN III kann dieses Risiko fast komplett eliminiert werden.
Dazu ist es zunächst entscheidend, diese Veränderungen zu erkennen. Die Frauenärztin oder der Frauenarzt entnimmt hierzu einen Zellabstrich vom Muttermund. Diese Zellen werden von einem Spezialisten, einem Zytologen, untersucht. Zusätzlich wird ab einem gewissen Alter auch im Abstand von 5 Jahren ein Test auf HPV durchgeführt, da der Befall mit den Hochrisikoformen des HPV ein Risikofaktor für die Entwicklung von Gebärmutterhalskrebs ist. Für die Frauenärztinnen/Frauenärzte in Deutschland gibt es klare Empfehlungen, welcher Test in welchem Zeitraum und in welchem Alter durchzuführen ist.
Bei regelmäßiger Teilnahme an der Vorsorgeuntersuchung bei der Frauenärztin/ dem Frauenarzt, besteht ein hoher Schutz vor einem Gebärmutterhalskrebs. Ist der Abstrich nun dennoch auffällig geworden, so besteht ausreichend Zeit diesen Verdacht mit Hilfe zusätzlicher Tests oder einer speziellen Untersuchung, der Abklärungskolposkopie zu klären. Für diese Abklärung stehen spezialisierte Dysplasie-Sprechstunden zur Verfügung.
Eine Dysplasie-Sprechstunde ist eine Spezialsprechstunde zur Erkennung von Krebsvorstufen der weiblichen Genitalien, das heißt der Vulva, der Vagina und des Gebärmutterhalses. Die Frauenärztin oder der Frauenarzt, der diese durchführt, hat sich durch mehrere Fortbildungen, praktische Erfahrungen und eine Diplomprüfung qualifiziert, Krebsvorstufen des weiblichen Genitale sicher zu erkennen und eine entsprechende Behandlung einzuleiten. Eine der wichtigsten Untersuchungen in diesem Zusammenhang ist die Abklärungskolposkopie.
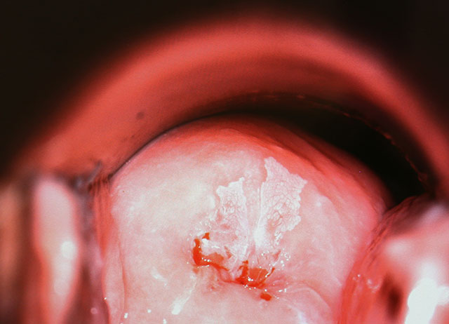
Eine Kolposkopie ist die Betrachtung der weiblichen Genitalien, das heißt der Vulva, der Vagina und des Gebärmutterhalses mit einem Mikroskop. Dies findet im Rahmen einer normalen gynäkologischen Untersuchung statt und ist völlig schmerzlos. Während der Untersuchung wird hochverdünnter Essig auf den Muttermund aufgetragen, damit kann man an Hand verschiedener Zeichen eine schwere Krebsvorstufe mit hoher Sicherheit erkennen. Dieser Untersuchungsschritt kann bei manchen Patientinnen zu einem leichten Brennen führen, welches binnen Minuten wieder verschwindet. Ist der Verdacht auf eine schwere Krebsvorstufe gestellt, wird eine Probe aus dem auffälligen Bereich genommen. Diese Probe ist wenige Millimeter groß und kann genauestens untersucht werden. Normalerweise verspürt man hierbei nur ein kleines Zwicken. Wurde nun eine mittelschwere oder schwere Krebsvorstufe diagnostiziert, erarbeitet der Spezialist in der Dysplasie-Sprechstunde gemeinsam mit dem betreuenden Frauenarzt / der Frauenärztin einen auf die spezielle Situation angepassten Behandlungsplan.
Auch in der Frauenklinik des Marienhospitals Bottrop gibt es eine Dysplasie-Sprechstunde, die von unserem Oberarzt Herrn Maguz durchgeführt wird. Gemeinsam mit dem interdisziplinären Team des zertifizierten Genitalkrebszentrums unter Leitung des Chefarztes Prof. Dr. Kolberg wird nach Überweisung durch die betreuende Frauenärztin / den Frauenarzt für jede Situation ein möglichst schonendes aber gleichzeitig auch sicheres Konzept erarbeitet.
Termine
Anmeldungen für die Dysplasie-Sprechstunde können unter folgenden Telefon-Nummern 02041 106-1601 oder 02041 106-1602 vorgenommen werden. (Bitte bringen Sie eine Überweisung mit.)
Klinik Partner









